19 年
手机商铺
入驻年限:19 年
翌圣生物
上海
体外诊断、耗材、技术服务、抗体、ELISA 试剂盒、细胞库 / 细胞培养、试剂
生产厂商
公司新闻/正文
838 人阅读发布时间:2022-11-18 09:11

原理
产品应用
使用范围
使用方法
产品性质
产品特点
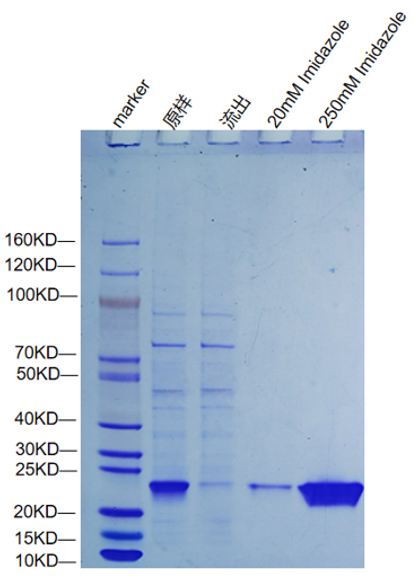
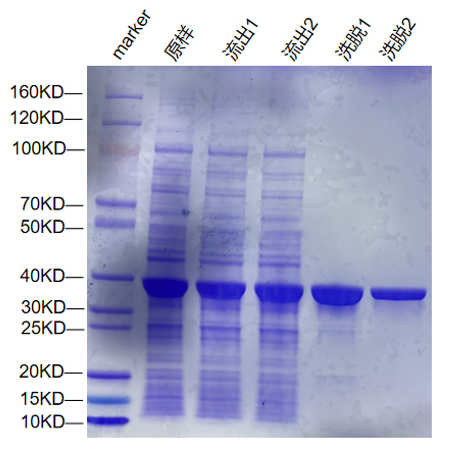
1、蛋白纯化快捷:与传统预装柱和树脂相比,无需多次离心样本和控制上样流速,极大的缩短纯化时间。

2、一步纯化即可得到高达95%以上纯度的目标蛋白
3、目标蛋白产率高:产率可达到70~80%
4、可重复使用多达5次
5、高容量
6、可轻松调节目标蛋白浓度和体积
7、蛋白损失小,且不存在蛋白变性、沉淀的风险
数据展示
| 产品名称 |
产品编号 |
规格 |
价格(元) |
| 20561ES03 |
1 mL |
275.00 |
|
| 20561ES08 |
5 mL |
825.00 |
|
| 20562ES03 |
1 mL |
285.00 |
|
| 20562ES08 |
5 mL |
625.00 |
|
| 20562ES25 |
25 mL |
1565.00 |