19 年
手机商铺
入驻年限:19 年
翌圣生物
上海
体外诊断、耗材、技术服务、抗体、ELISA 试剂盒、细胞库 / 细胞培养、试剂
生产厂商
公司新闻/正文
399 人阅读发布时间:2024-03-11 13:51
人类疾病的发展十分复杂,以人本身作为实验对象来深入探讨疾病发生机制,推动医药学的发展来之缓慢。借助动物模型的间接研究,可避免在人体上进行实验所带来的风险和伦理问题,可以有意识地改变那些在自然条件下不可能或不易排除的因素,以便更准确地观察模型的实验结果并与人类疾病进行比较研究,有助于科研者更方便有效地认识人类疾病的发生发展规律,研究防治措施。
翌圣生物提供多种类型的造模产品,包括结肠炎、胰腺炎、糖尿病和高血压等,详细信息如下表。
不同模型产品选择指南

<点击查看详情>点击查看详情>
高品质DSS葡聚糖硫酸钠盐选择指南

<点击查看详情>点击查看详情>
客户案例
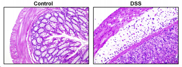
01 DSS(Cat# 60316ES)——含硫量16-20%,游离硫<0.2%,模拟人UC模型,安全高效
客户1:

图1 结肠炎H&E染色结果
客户来源:南京农业大学
动物类型:C57BL/6小鼠
造模方法:3% (w/v) DSS自由饮用7天
引用自:doi.org/10.1016/j.jnutbio.2020.108438
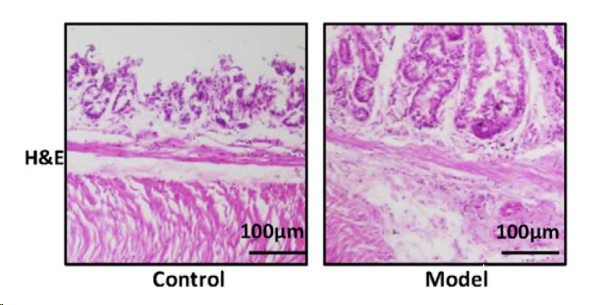
客户2:

图2.结肠癌H&E染色结果
客户来源:暨南大学
动物类型:BALB/c小鼠
造模方法:
1. 10 mg/kg AOM处理小鼠后用纯水自由饮1周;
2. 2.5%(w/v)DSS自由饮用1周,换纯水自由饮用2周
3. 步骤2重复3次。
引用自:doi: 10.3389/fphar.2020.586885
02 雨蛙素(Cat# 60321ES)
——十肽分子形式,纯度(HPLC)≥97%
客户3:

图3.胰腺H&E染色结果
客户来源:上海交通大学医学院
实验动物:Balb/c小鼠
造模方法:以1小时间隔腹腔注射7次50 μg/kg雨蛙素,并在最后一次同时注LPS (10 mg/kg)诱导SAP。
引用自:doi.org/10.1016/j. ebiom.2022.103959
03 STZ(Cat# 60256ES)
客户4:

图4.各器官H&E染色结果
客户来源:华中科技大学同济医学院
引用自:DOI: 10.1021/acsami.1c24569
部分客户文献
[1] Li Zhao, Fei Wang,Zhengwei Cai,et al.Improving drug utilization platform with injectable mucoadhesive hydrogel for treating ulcerative colitis[J].chemical engineering journal.424(2021)130464.IF=16.744
[2] Lingjun Tong, Haining Hao, Zhe Zhang,et al.Milk-derived extracellular vesicles alleviate ulcerative colitis by regulating the gut immunity and reshaping the gut microbiota[J].Theranostics.2021; 11(17): 8570-8586 IF=11.556
[3] Li, Y., Dong, J., Xiao, H., Zhang, S., Wang, B., Cui, M., & Fan, S. Gut commensal derived-valeric acid protects against radiation injuries. Gut Microbes,.2020 .1–18.IF=10.245
[4] Jingjing Gan, Yuxiao Liu, Lingyu Sun,et al.Orally administrated nucleotide-delivery particles from microfluidics for inflammatory bowel disease treatment[J].Applied Materials Today.2021 Dec;25:101231 IF=10.041
[5] JialiDong,YuanLi,HuiwenXiao,et al.Oral microbiota affects the efficacy and prognosis of radiotherapy for colorectal cancer in mouse models[J].Cell reports.2021, 109886.IF=9.423
[6] Xi Z, Ahmad E, Zhang W, et al. Dual-modified nanoparticles overcome sequential absorption barriers for oral insulin delivery. J Control Release. 2022;342:1-13. doi:10.1016/j.jconrel.2021.11.045.IF=9.776
[7] Xu Z, Liu Y, Ma R, et al. Thermosensitive Hydrogel Incorporating Prussian Blue Nanoparticles Promotes Diabetic Wound Healing via ROS