19 年
手机商铺
入驻年限:19 年
翌圣生物
上海
体外诊断、耗材、技术服务、抗体、ELISA 试剂盒、细胞库 / 细胞培养、试剂
生产厂商
公司新闻/正文
566 人阅读发布时间:2025-01-05 15:51
在基因组学研究的广阔领域,数据的准确性和样本的代表性是突破的核心。无论是揭示肿瘤突变、诊断遗传病、精准识别病原微生物,还是加速农业与畜牧科研育种,如何在复杂的基因组数据中提取关键信息,始终是科研人员面临的重大挑战。传统的建库方法往往在精度、效率或成本之间做出妥协,难以满足复杂样本和大规模数据的需求。而如今,酶切法建库试剂盒的出现,正是应对这一挑战的完美解决方案——它为基因组研究提供了更高的灵活性、精准度、可靠性和简便性,为科学家们破解生命密码、推动创新提供了强大动力。
肿瘤学研究中的精准医疗、遗传学领域的疾病诊断、公共卫生中的病原检测,甚至农业与育种的高效改良,酶切法建库试剂盒均展现出了极大的应用潜力。让我们一起来看看,翌圣推出的酶切法建库试剂盒是如何助力科学家们实现更高效、更精确的基因组学研究的。
助力肿瘤精准医疗
肿瘤基因组研究需要对体细胞突变、结构变异等进行深度解析。翌圣酶切法建库试剂盒可以高效捕获低频突变和拷贝数变异,显著提升数据精度,助力肿瘤分型、靶点发现及个性化治疗方案制定。

使用12194酶法法建库试剂盒与竞品W*对FFPE、gDNA和ctDNA标准品建库,结果显示无论什么样本类型,12194在Soft Clip和false chimeric等指标上均低于或接近竞品W*。

使用12194和竞品W*对比建库杂交捕获测序,模板为肿瘤SNV 5% gDNA标准品(GW-OGTM006)和肿瘤gDNA野生型标准品(GW-OGTM005),将突变位点稀释至0.5%和0.1%,模板投入100ng,平均测序深度5000×。结果显示,12194突变位点检出率与目标检出率一致。
破解遗传密码
单基因疾病、多基因疾病及复杂遗传病的研究通常面临高覆盖率、目标区域一致性及变异检测灵敏度等多重挑战。酶切法建库试剂盒作为一种建库工具,能够高效实现目标区域的高覆盖率捕获,同时保持一致性,显著提升检测的精准度与可靠性,轻松应对变异检测的挑战,帮助科研人员快速识别致病突变。


WGA扩增产物建库测序,结果显示,12510+13570在比对率、dup和CV值等指标上优于竞品,且染色体突变位点检出明显,离散程度低,假阳少。
快速应对感染挑战
随着全球病原感染研究需求的迅速增长,尤其是在新发和再发传染病频发的背景下,高效的检测技术显得尤为重要。酶切法建库试剂盒凭借其对低丰度DNA片段的高灵敏检测能力,能够准确捕获病原微生物的遗传信息,为感染性疾病的快速诊断和全面的病原谱分析提供了有力支持。该技术不仅适用于常见病原体的精准检测,还能识别复杂感染中的稀有或未知病原体,为病因溯源和传播路径分析提供了可靠依据。
使用12316和竞品进行mNGS建库,模板投入量100pg,片段化条件30℃ 5min,扩增15个循环,下机数据显示12316各QC指标和竞品相当。
加速作物与畜牧改良
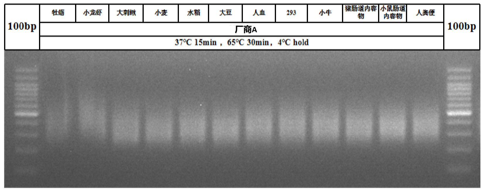
在农业与畜牧领域,基因组学工具正成为推动高效育种方案的重要驱动力,为作物改良和牲畜育种带来了革命性变化。翌圣酶切试剂盒适用于复杂基因组结构分析及多样性评估,不仅有助于提高农作物的产量、抗逆性和品质,还能优化牲畜的生长性能、健康状况和繁殖能力,显著加速了传统育种周期,助力优良品种选育和精准遗传改良。

以200 ng不同物种gDNA为模板,使用12972ES和厂商A建库试剂进行文库构建,胶图显示,12972ES在不同物种文库均一性上表现优于厂商A。


针对中草药、板栗等复杂样本建库,12972ES无需对样本进行纯化等预处理步骤,均能直接建库成功,且浓度均在1 μg以上。
其他应用
酶切法建库试剂盒作为高效、精准的核酸片段化工具,其应用范围远超传统领域。在环境科学中,它助力于微生物群落的多样性分析,为生态系统健康评估提供强有力的数据支持;在食品安全中,可用于检测转基因成分或微生物污染,为食品质量监管筑起安全屏障;在法医学中,它通过快速建库支持复杂样本的DNA分析,助力案件侦破和身份鉴定;在农业科技中,推动了微生物组与植物互作机制的探索,为绿色农业和生物防治提供创新方案。这些多元化的应用,彰显了酶切法建库试剂盒在生命科学领域的广泛价值与无限潜力。
产品推荐
|
试剂类别 |
产品名称 |
货号 |
应用 |
|
酶切法建库 |
Hieff NGS® OnePot Pro DNA Library Prep Kit V3 |
12194ES |
肿瘤检测 |
|
Hieff NGS® C169P1 OnePot Pro DNA Library Prep Kit |
13570ES |
遗传检测 |
|
|
Hieff NGS® OnePot Flash DNA Library Prep Kit |
12316ES |
病原检测 |
|
|
Hieff NGS® OnePot Pro DNA Library Prep Kit V4 |
12972ES |
科服育种 |
|
|
纯化磁珠 |
Hieff NGS® DNA Selection Beads 分选磁珠(完美替代AMPure XP Beads) |
12601ES |
DNA纯化分选 |
|
接头 |
Hieff NGS® 384 CDI Primer for Illumina , Set 1 |
12412E |
序列标识 |
|
Hieff NGS® Complete Adapter Kit for MGI, Set 2 |
13361ES |
||
|
定量 |
1×dsDNA HS Assay Kit for Qubit® |
12642ES |
DNA浓度测定 |