19 年
手机商铺
入驻年限:19 年
翌圣生物
上海
体外诊断、耗材、技术服务、抗体、ELISA 试剂盒、细胞库 / 细胞培养、试剂
生产厂商
公司新闻/正文
474 人阅读发布时间:2024-12-23 16:47
自2012年首次亮相以来,CRISPR技术已在基因功能研究、药物靶点筛选、遗传疾病治疗、癌症研究以及作物育种等多个领域取得突破性成果。其工作机制如下:
Cas蛋白(例如广泛使用的Cas9)在向导RNA(gRNA)的引导下能够精准地定位到特定的DNA序列上。一旦到达目标位置,Cas9会与DNA结合并切割其双链,从而产生一个双链断裂(DSB)。面对这样的损伤,细胞会激活自身的修复机制来应对,主要包括非同源末端连接(NHEJ)或同源重组修复(HDR)两种方式。利用这些天然存在的DNA修复过程,科学家可以在目标DNA位点引入所需的特定序列变化,实现对基因组的精确编辑。
目前CRISPR技术能以很好的精确度对DNA进行修改,包括添加、删除或替换特定基因片段,这一进步不仅使基因修复更加便捷和精准,也为基因治疗、生物育种、合成生物学等指明了新的发展方向。
翌圣基因编辑解决方案

针对上述基因编辑技术流程,翌圣生物可提供高品质Cas蛋白等相关产品,以及蛋白改造、GMP规模化生产定制服务。这些产品覆盖了从设计到实施的整个过程,旨在帮助研究人员更高效、更准确地完成基因编辑实验。接下来,小编将选取部分重点产品给大家进行展示。
sgRNA合成试剂盒
Hifair® Precision sgRNA Synthesis Kit (Cat#11355ES)
该试剂盒的应用极为简便,用户只需设计一条特定的上游引物,并结合试剂盒提供的其他试剂,即可在短短4小时内合成出>20 μg高品质的sgRNA。所产生的sgRNA具备高产量、高纯度和高活性等优势,在基因编辑过程中能显著提升编辑效率,并大幅降低脱靶现象的发生几率,确保基因编辑工作以高效率和高准确性进行。
性能展示
高合成产量:单管反应4小时,sgRNA产量>20 μg


图1. 不同时间的sgRNA的合成量
适用范围广:不同种类的sgRNA均可获得高产量


图2. 不同序列的sgRNA的合成产量
高纯度:合成的sgRNA条带单一

图3. 合成的sgRNA的纯度(安捷伦2100测定)
高活性:合成的sgRNA可有效引导Cas9切割靶标DNA

图4. sgRNA的剪切效率效果图
Cas9蛋白
Cas9 Nuclease (Cat#14701ES)
Cas9 Nuclease来源于野生型酿脓链球菌S. pyogenes,是依赖RNA介导的内切核酸酶,可以特异地切割双链DNA(在DNA PAM存在的情况下,也可以切割单链DNA或单链RNA)。Cas9切割位点位于目标序列(target sequence)内,离PAM(NGG)区3个碱基。本产品经过密码子优化及核定位信号(NLS)设计,由大肠杆菌重组表达而来,编辑效率高,可用于细胞(造血干细胞、T细胞等)的基因修饰,也可用于分子诊断,检测病原体等。
性能展示
A:体外切割测试:3批次体外切割活性均达98%以上。
B:体内基因敲除,敲除效率与进口品牌一致。

图5. Cas9 Nuclease体外切割活性及基因敲除效率结果
Cas9蛋白
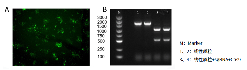
NLS-Cas9-EGFP Nuclease (Cat#11364ES)
NLS-Cas9-EGFP在Cas9核酸酶的基础上进行改造,它在N端包含一个核定位信号NLS,在C端包含一个EGFP和一个6X (His)序列,Cas9 RNP复合物在进入细胞后可立即定位到细胞核。此外,与其他系统相比,EGFP标签可作为追踪或分类转染细胞的报告器,通过荧光激活细胞分选(FACS)富集所需基因组编辑的细胞群。它大大降低了在基因组编辑应用中与单细胞克隆和基因分型相关的人工和成本。
性能展示
A:细胞转染实验:电穿孔后12 h,在荧光显微镜下观察细胞。
B:切割效率检测:线性化质粒的消化效率大于90%。
注:20 μL的反应体系,在含有线性化质粒、gRNA 和Cas9的1×Cas9核酸酶反应缓冲液中在37°C下反应1小时,在琼脂糖凝胶电泳测定结果显示,线性化质粒的消化效率大于90%。

图6. NLS-Cas9-EGFP Nuclease细胞转染及体外切割结果
Cas 12a蛋白
ArCas12a Nuclease (Cat#14702ES)
ArCas12a核酸内切酶,源自Agathobacter rectalis细菌的CRISPR系统,别名Cpf1,是一个包含1263个氨基酸的单体蛋白。Cas12a缺乏HNH结构域,可单独利用其RuvC结构域在CRISPR RNA(crRNA)引导下识别位于靶标核酸5’端富含胸腺嘧啶(T)的PAM区而启动对靶标DNA的切割,已成功用于许多哺乳动物和植物的基因组编辑。此外Cas12a还具有反式切割活性,可不加选择地切割反应体系中的非靶标单链DNA。与LbCas12a/AsCas12a相比,ArCas12a具有更高的温度适应性(25-55℃),可适用于基因组编辑及核酸检测等。
性能展示
双链DNA高效体外切割

图7. ArCas12a顺式切割活性检测 M:Marker;C:模板双链DNA。
注:在crRNA的引导下可高效的切割双链DNA(600 bp)产生两段切割产物(200 bp+400 bp)
反式切割活性强,可用于核酸检测

图8. ArCas12a反式切割活性检测
注:以双链DNA模板为靶标,加入ArCas12a、crRNA(存在与模板DNA序列互补的spacer区)及单链DNA报告探针(含有荧光报告基团)进行体外切割,当ArCas12a与crRNA及靶标DNA形成复合体后会激活反式切割活性,切割单链DNA报告探针,从而发出荧光。结果显示,翌圣ArCas12a与crRNA及模板DNA形成复合体后具有反式切割活性,可剪切单链DNA。
Cas 12b蛋白
AapCas12b Nuclease (Cat#14808ES)
AapCas12b核酸酶(又名C2c1)是由tracrRNA:crRNA(或sgRNA)介导的DNA核酸内切酶,来源于嗜酸耐热菌Alicyclobacillus acidophilus,在靶标双链DNA存在PAM(TTN)序列的情况下,特异地剪切靶标双链DNA,使DNA双链断裂并生成粘性末端。AapCas12b可不依赖PAM序列特异地剪切单链DNA靶标。双链或单链DNA靶标均能激活AapCas12b的反式剪切活性(即旁路剪切活性/附属剪切活性),即当AapCas12b酶与sgRNA、靶标DNA结合形成三元复合物后,便会被激活针对非特异序列ssDNA的反式剪切活性,将体系中的任意序列ssDNA切碎。AapCas12b最佳剪切反应温度为60℃,比AacCas12b更耐高温,适用于与LAMP联用,开发恒温扩增/CRISPR-Cas检测体系。
性能展示
顺势切割活性:效果媲美进口品牌T*

图9. AapCas12b Nuclease (10 μM) (Cat#14808ES)顺式切割活性验证
注:在20 μL的反应体系,含有带PMA序列的双链Target DNA、sgRNA、Cas12b和1×reaction buffer,在60°C下反应30 min,85°C下灭活5 min,在琼脂糖凝胶电泳测定结果显示,三批次AapCas12b Nuclease (10 μM) (Cat#14808ES)均能有效切割双链Target DNA,切割效果与进口品牌T*相当。
反式切割活性:能有效切割体系中的ssDNA

图10. AapCas12b Nuclease (10 μM) (Cat#14808ES)反式切割活性验证
注:在20 μL的反应体系,含有带PMA序列的双链Target DNA、sgRNA、Cas12b、Report ssDNA荧光探针和1×reaction buffer,在60℃反应1h,每30 sec采集一次荧光信号,结果显示在Target DNA、sgRNA、Cas12b共同存在的情况下,Report ssDNA荧光探针能被切割,从而释放荧光信号。
当前,CRISPR基因编辑技术正处于快速发展的时期,整个领域仍在不断成熟和完善中。随着科学研究和技术应用的持续推进,我们有理由相信未来将涌现出更多创新性的基因编辑工具,这些新工具将进一步拓宽该技术的应用场景与潜力。
如果您对基因编辑有任何需求或兴趣,欢迎随时联系我们。无论是在基础研究、药物开发、农业生物技术、合成生物学等领域,我们都致力于为您提供最前沿的技术支持和服务,共同探索基因编辑带来的无限可能。
产品推荐
|
产品应用 |
产品定位 |
产品名称 |
产品货号 |
|
通用型 |
带NLS的SpCas9 |
Cas9 Nuclease |
14701ES |
|
荧光观察/流式分选 |
带EGFP荧光标签的SpCas9 |
NLS-Cas9-EGFP Nuclease |
11364ES |
|
基因调控 |
无剪切酶活性的Cas9 |
dCas9 Nuclease |
11351ES |
|
小分子量递送 |
Cas12a |
ArCas12a Nuclease |
14702ES |
|
Cas12b |
AapCas12b Nuclease |
14808ES |
|
|
sgRNA制备 |
sgRNA合成 |
Hifair® Precision sgRNA Synthesis Kit |
11355ES |
|
sgRNA纯化 |
Hieff NGS® RNA Cleaner |
12602ES |